大阪のホワイトスポット治療

痛くない

歯のシミを1日で消す方法

大阪の北浜駅から徒歩1分「歯の花クリニック」
優しい女医のみ / 完全個室・完全予約制でお待たせしません

ホワイトスポットでお悩みですか?

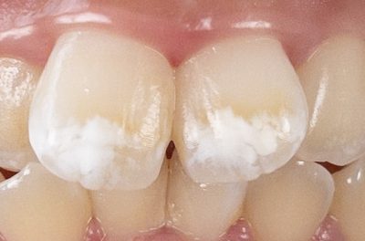
前歯のホワイトスポット

✔︎ 前歯に大きなシミがあって目立つ
✔︎ 子供の頃から歯の白いシミがコンプレックス
✔︎ 歯の茶色いシミが気になって、思いっきり笑うことができない
✔︎ 歯のシミ(ホワイトスポット)を治したいけど、費用は高いのかな?
✔︎ ホワイトスポットを自分で治す方法はある?

このように、歯のシミ(ホワイトスポットやブラウンスポット)のことで悩んでいませんか?
実はこういったシミは、『アイコン治療』という治療法を使えば、歯を削らず、1日で簡単に綺麗にすることができるのです。

ホワイトスポット
アイコン治療後

この記事では、大阪の歯科女医・米畑 有理(よねはた ゆり)が、歯のシミ(ホワイトスポット)の原因やおすすめの治療法、良い歯医者の選び方を解説します。

歯の花クリニック院長 米畑 有理(よねはた ゆり)

歯の花クリニック院長
米畑  有理
歯科医師・歯学博士

目次

ホワイトスポットとは?

歯の一部が透明感のない白になった状態を「ホワイトスポット」と言います。
白斑(はくはん)、白濁(はくだく)、歯のシミ…など呼び方は色々ありますが、どれも同じです。

歯のシミの色が茶色くなっているものは、「ブラウンスポット」と言います。

ブラウンスポット

ホワイトスポットの原因

ホワイトスポットやブラウンスポットができる原因は、大きく2つに分かれます。

1. エナメル質形成不全
2. 虫歯

子供のころから歯のシミがある方は、「1. エナメル質形成不全」である可能性が高いです。

前歯のホワイトスポット

1. エナメル質形成不全

エナメル質形成不全とは、歯の一番外側にあるエナメル質がうまく作られずに生えてきた状態を指します。

乳歯の頃にむし歯になったり、栄養が不足したり、乳歯をぶつけてしまったりすると、歯の石灰化がうまく行われず、永久歯が白く濁った状態で生えてくることがあります。
その他にも、歯が作られている時期に飲んだ薬や発熱の影響、低体重で生まれたことなどもホワイトスポットができる原因として挙げられます。

ただ、生まれつきのホワイトスポット(エナメル質形成不全)の場合、見た目だけの問題で、健康上の問題はありません。

2. 虫歯

大人になってから歯と歯茎の境目や、歯と歯の間にホワイトスポットができた場合は、虫歯の初期症状である可能性が高いです。
虫歯菌が出す酸の影響によって、歯が白くにごり始めるのです。

虫歯が原因のホワイトスポットの場合は、虫歯リスクを下げて虫歯の進行を止めることが先決となります。
ただ虫歯の進行が止まっても、歯のシミは消えないケースが多いです。

ホワイトスポットは歯磨き粉で治せる?

歯磨き粉

一部ネットの情報で、「Miペースト」やフッ素入りの歯磨き粉を使えば、ホワイトスポットを消せるという情報が出てくることがありますが、実際にはあまり効き目がありません。

虫歯が原因で、かつホワイトスポットができてすぐだったら消える可能性もありますが、実際には消えないケースの方が多いです。

また子供の頃からある(エナメル質形成不全が原因の)ホワイトスポットは、「Miペースト」などの歯磨き粉やフッ素塗布で、消えることはありません。

ホワイトスポットの治療法と費用相場

ホワイトスポットやブラウンスポットを消すための治療は、健康保険が適用にならないため、自費診療となります。

治療法は、主に以下の3つの方法があります。

1. アイコン治療

歯をほとんど削らずにホワイトスポットを消せるのが「アイコン治療」です。

そもそもホワイトスポットが白く見えるのは、歯の表面にあるエナメル質に空胞があるからです。

ホワイトスポットが白く見える原因
アイコン治療は、この空砲を透明なレジンで満たして、まわりの色と馴染ませることで、ホワイトスポットを消す治療法です。
ホワイトスポット治療前
治療前:エナメル質にある空胞が白く見える
ホワイトスポット治療後
治療後:空胞が透明なレジンで満たされ白く見えない

アイコン治療は歯を削る量が少なく、また仕上がりも自然なので、現代では最もおすすめの治療法です。
痛みもなく、1時間程度の治療で、あっという間に歯のシミを消すことができます。

アイコン治療のデメリットやリスクとしては、
新しい治療法なので、どこの歯医者でも取り扱っているわけではない
アイコン治療経験の浅い歯科医師だと綺麗に治せないことがある
・歯科医師の経験と技術次第で、アイコン治療できるか否かが変わる
経年的に着色が生じる可能性がある
といった点があげられます。

ただ着色する確率は高くなく、もし着色しても、表面の着色ならクリーニングで取ることができます。

またアイコン治療経験の豊富な歯科医師に担当してもらえば、シミを綺麗に消してくれる可能性が高いです。
治療実績豊富な歯科医師に頼む場合、費用の相場は、歯1本あたり5万~6万円です。

2. ダイレクトボンディング

白く(または茶色く)変色している部分を削って、レジンというプラスチック素材で埋める治療法が「ダイレクトボンディング」です。
アイコン治療ができない一般的な歯科医院では、こちらの方法を選択するところが多いです。

費用の相場としては、歯1本あたり3万~6万円ほど。

ただ、ダイレクトボンディングは、
歯を削る必要がある
・普通の歯と治療した部分との境目が目立ちやすい
・時間がたつにつれて劣化したり、色が変わっていまう可能性がある
といった理由から、あまりおすすめできません。

3. ラミネートべニア

歯の表面を削って、薄いセラミックを「つけ爪」のように張り付ける治療法が「ラミネートべニア」です。
費用の相場は、歯1本あたり10万円〜15万円ほど。

先ほどの「ダイレクトボンディング」と違って、変色しにくい上に、美しい仕上がりが期待できます。

ただ、ラミネートベニアは1本だけに治療を行うと、周囲の歯から浮いて見えてしまうため、ほとんどのクリニックでは1本だけの治療を行っていません。
治療の際は、前歯6本~8本をまとめてラミネートべニアにしなくてはいけならならないため、総額で60~120万円以上かかってしまうケースもあります。

また健康な歯もたくさん削ることになってしまうので、あまりおすすめできません。

ホワイトスポットの治療法は、結局どれがおすすめ?

ホワイトスポットの治療法をまとめて比較すると、以下となります。

①アイコン治療:経験豊富な歯科医師に頼まないと失敗するリスクがあるが、歯を削る量が少なく仕上がりも綺麗
②ダイレクトボンディング:一般的な歯科医院でも治療できるが、仕上がりがあまり綺麗でない
③ラミネートべニア:仕上がりは綺麗だが、健康な歯も削る上に、料金が高い

というわけで、経験豊富な歯科医師に頼める場合は、アイコン治療が最もおすすめです。

当院のホワイトスポット施術例

歯は削れば削るほど弱くなってしまいます。
そのためホワイトスポット治療をするなら、歯を削らないですむ「アイコン治療」がおすすめです。

実際に当院で「アイコン治療」をされた方の施術例をご紹介します。

ホワイトスポット
アイコン治療後

治療内容

アイコン治療2歯

治療回数

1回

費用

・アイコン治療 55,000円×2歯 
 合計: 110,000円

リスク

・経年的に着色が生じる可能性があります。
・症例によっては、アイコンで治療できないケースもあります。

治療内容

オフィスホワイトニング1回 + アイコン治療2歯

治療回数

2回

費用

・オフィスホワイトニング 17,600円×1回
・アイコン治療 55,000円×2歯
 合計: 127,600円

リスク

・経年的に着色が生じる可能性があります。
・症例によっては、アイコンで治療できないケースもあります。

歯のホワイトスポット
アイコン治療後

治療内容

オフィスホワイトニング2回 + アイコン治療2歯

治療回数

3回

費用

・オフィスホワイトニング 17,600円×2回
・アイコン治療 55,000円×2歯
 合計: 145,200円

リスク

・経年的に着色が生じる可能性があります。
・症例によっては、アイコンで治療できないケースもあります。

歯のシミ・ホワイトスポット
アイコン治療後

治療内容

オフィスホワイトニング4回 + アイコン治療2歯

治療回数

5回

費用

・オフィスホワイトニング 17,600円×4回
・アイコン治療 55,000円×2歯
 合計: 180,400円

リスク

・経年的に着色が生じる可能性があります。
・症例によっては、アイコンで治療できないケースもあります。

歯のシミ・ホワイトスポット
アイコン治療後

治療内容

アイコン治療1歯

治療回数

1回

費用

・アイコン治療 55,000円×1歯
 合計: 55,000円

リスク

・経年的に着色が生じる可能性があります。
・症例によっては、アイコンで治療できないケースもあります。

多くの方から、ご満足のお声をいただいています。

なお、ホワイトニングは希望される方には行っていますが、必須ではありません。

ホワイトスポット・アイコン治療 良い歯医者の選び方

アイコン治療を受けたい方は、歯医者を選ぶ際に注意が必要です。 以下5つのポイントをおさえたクリニックを選びましょう。

1. 実績のある歯科医師が治療してくれるか

ホワイトスポットのアイコン治療で最も重要なことは、実績のある歯科医師があなたの治療を担当してくれるかという点です。

なぜならアイコン治療は難易度が高く、知識や経験が不足していると、治療が失敗してしまう可能性があるからです。

もちろんホワイトスポットの状態によっては、経験豊富な歯科医師が担当しても、綺麗に治らないケースもあります。

ただ、アイコン治療経験の浅い歯科医師が担当すると、失敗の可能性が高まる上に、ホワイトスポットが綺麗に消えなかったり、歯のシミがさらに目立ってしまう可能性すらあるのです。

そのため、歯科医院を選ぶ際は、

・アイコン治療の症例数が多いか
・アイコン治療の経験が豊富な医師が担当してくれるか

の2点をきちんを確認しましょう。

可能であれば、担当医に過去の治療例を見せてもらうと良いでしょう。

歯のメンテナンス

2. 料金が安すぎないか

治療費の安い歯科医院は、一見良さそうに見えますが、注意が必要です。
アイコン治療の経験が浅い歯科医師に担当される可能性が高いからです。

ここだけの話ですが、アイコン治療は時間も手間もかかる治療のため、経験豊富な歯科医師が安い金額で治療していると、経営的に赤字になってしまいます。

経営を優先する歯科医院では、「あなたのホワイトスポットは深い(範囲が広い)から、アイコン治療だと難しい」などと言って、より利益率の高いラミネートべニアなどに切り替えられてしまう可能性もゼロではありません。

またアイコンの治療費以外に、別途加算される治療費や相談料を設定している歯科医院もあるので、トータルの費用をあらかじめ確認しておきましょう。

料金

3. 相談の時間をきちんととってくれるか

ホワイトスポットの治療を行う際は、事前にしっかりと相談の時間をとってくれる歯医者を選ぶことも大切です。

相談する際は、以下の点もあわせてチェックしましょう。

これまでの実績(症例)を見せてくれるか
・あなたの疑問や不安を、しっかり解消してくれるか
相談しやすい歯科医師
アフターケアの有無
治療にかかるトータルの費用と通院回数

なお、当院ではホワイトスポット治療の相談料は無料としていますが、有料にしている歯科医院もあるので、事前に確認しておきましょう。

切らない歯周病治療

4. 来院頻度や待ち時間が多くないか

保険診療が中心の歯医者の場合、何度も通わないとアイコン治療をさせてくれないところもあります。

例えば、初回はレントゲン診査や写真撮影をして、2回目は歯石取り、3~4回目でホワイトニング、5回目にようやくアイコン治療といった具合に、何度も通わなくてはいけないシステムになっているのです。

正直なところ、ホワイトスポット治療をするだけなら、レントゲン撮影や歯石取りは必要ありません。

また歯医者によっては、予約した時間通りに行ってもなかなか診察が始まらなかったり、待ち時間がすごく長かったりするところもあるので、忙しい方は注意が必要です。

歯の花クリニック

5. 完全個室でリラックスできる歯医者か

アイコン治療中は、口を開けたままの状態が長くなります。

そのため歯科医院によくある半個室(壁の上の方が開いているタイプ)や、パーテーションで区切られただけの診察室で治療を受けると、気持ち的に落ち着きません。

リラックスして治療を受けたいなら完全個室で、隣の声が聞こえない歯医者を選びましょう。

歯の花クリニック 個室

歯の花クリニックが選ばれる 5つの理由

大阪・北浜にある「歯の花クリニック」は、5つの理由から多くの方々に選ばれています。

1. 実績のある歯科女医が治療を担当

アイコン治療は難易度が高い治療のため、経験の乏しい歯科医師が担当すると、失敗するリスクが上がってしまいます。

そのため当院では、アイコン治療の経験が豊富な歯科女医が、あなたのアイコン治療を担当します。

またホワイトスポット相談(無料)にお越しいただいた方には、これまでの症例をお見せしながら、治療法について丁寧にご説明いたします。

なお当院には、他のクリニックで「アイコン治療では治らない」と診断された方や、過去にアイコン治療で失敗された方も、ご来院いただいています。

そうした方の多くが当院のアイコン治療によって、ホワイトスポットを綺麗に改善されています

「自分の場合はアイコン治療が可能なのか」と気になっている方は、どうぞお気軽にご相談ください。

4. 歯周病をちゃんと治してくれる歯医者か?​

2. わかりやすい料金設定

当院のホワイトスポット治療(アイコン治療)は、歯1本につき50,000円(税込55,000円)です。

基本的に、①初診(ホワイトスポット相談)、②ホワイトスポット治療、③経過観察の3回来院して頂きますが、その全ての費用がこちらに含まれています。

他院では、ホワイトスポットの治療費以外に、別途費用がかかるケースが多いですが、当院ではそういった費用は発生しません。

また一般的な保険診療の歯科医院は、最初に「初診料」がかかりますが、当院は自由診療のクリニックなので「初診料」もかかりません。

なお、当院は「歯を削らない治療」をモットーとしています。歯を大きく削る治療(ラミネートべニアなど)をおすすめすることはありませんので、ご安心ください。

歯の花クリニック 受付

3. ホワイトスポット相談が無料

当院では、ホワイトスポット治療の相談が無料で受けられます。

無料相談では、実際にあなたのホワイトスポットを見た上でどの程度綺麗になりそうか、お話しています。

また治療に関しての不明点、不安な点など、何でもご相談いただけます。

歯の花クリニック

4. 完全予約制・無駄な通院無し

歯医者は、人気なところほど待ち時間が長い傾向にありますが、当院は完全予約制のため待ち時間ゼロでご案内ができます。

また一般的な保険診療の歯医者だと、何度も通院が必要になるケースがありますが、当院は自由診療のクリニックのため、 通院頻度が多くなることはありません。

お住まいが遠い場合は、オンライン診療後に1回の来院のみで治療を済ませることも可能です。遠方の方は以下の公式LINEから、お気軽にお問い合わせください。

なお、アイコン治療の前にホワイトニングを希望される方が多いですが、当院はホワイトニングも得意としております。

> 詳しくはこちら:「ホワイトニング臨床20年の歯科女医が教える、失敗しない歯のホワイトニングとは?」

歯の花クリニック 受付

5. リラックスできる完全個室

当院の治療室は完全個室です。
歯医者によくある半個室タイプではなく完全な個室のため、隣の方の話し声や治療音は聞こえません。

エステサロンのような雰囲気なので、歯医者が苦手な方もリラックスして治療していただくことができます。

歯の花クリニック受付
歯の花クリニック待合サロン
歯の花クリニックレセプションルーム
歯の花クリニックゲストルームAQUA
歯の花クリニックゲストルームCHOCOLAT
歯の花クリニック待合サロン

歯の花クリニックのアクセス​

当院は大阪・北浜駅から徒歩1分、淀屋橋駅から徒歩10分の距離にあります。

ホワイトスポット治療の実際の流れ

STEP ❶ 診療予約をする

まずは、ホワイトスポット治療相談(無料)をご予約ください。

STEP ❷ 来院・相談する

1)Iconアイコン治療について
お口の中を診察して、アイコン治療について説明と相談をします。

2)ホワイトニングについて
アイコン治療の後はホワイトニングができなくなるため、治療の前にホワイトニングを希望される方が多いです。
ホワイトスポット治療の相談当日にホワイトニングをご希望の方は「オフィスホワイトニング」でご予約いただき、「相談内容・希望など」の欄に「ホワイトスポット相談希望」とご記入ください。
>  ホワイトニングの詳細はこちら

STEP ❸ アイコン治療

治療時間は、90〜120分です。
(ご予約が取りにくくなっております。ご予約はお早めにどうぞ)

STEP ❸ 経過観察

治療後に、経過観察のため一度ご来院いただきます。費用は無料です。
遠方などの理由で来院が難しい方は省略することも可能です。

ホワイトスポット治療のご予約はこちら

歯のシミが消えれば、自分の笑顔に自信がもてます。
口元を気にすることなく、思いっきり口を開けて笑うことができるようになります。

ホワイトスポットでお悩みの方は、まずは無料相談をご予約下さい。

なお無料相談をしたからといって、必ずしも申し込む必要はありません。
強引な勧誘等は一切ありませんので、お気軽にご相談ください。

※ お一人お一人丁寧に向き合いたいため、1日の診療数は5名に限定しております。ご予約はお急ぎください。

歯の花クリニックの評判・クチコミ

当院のクチコミをご紹介します。

丁寧な対応に満足★★★★★
前歯のホワイトスポットがずっと気になっており、治療してみたいと思っていましたが、住んでいる地域に審美歯科がほとんどなく、どうしようか悩んでいました。
SNSで偶然貴院を拝見し、連絡させていただいたところ、すぐに返信いただき、オンラインで治療に関して詳しい説明、診察など丁寧な対応をしていただきました。
実際も丁寧な対応、治療をしていただき、非常に満足しています。この度は本当にありがとうございました。
白い歯でいられるのは嬉しい★★★★★
先日、ホワイトニングでお世話になりました。はじめてのホワイトニングだったのですが、とても丁寧に説明してくださり、安心して受けることが出来ました。白い歯でいれるのは嬉しいです。
フランスに滞在していたことがあるという院長先生だからでしょうか。BGMや内装や施術室も、全体的におしゃれで居心地よく気分良く受けることができました。ありがとうございました!
丁寧に寄り添ってくれるクリニック★★★★★
もともとホワイトニングに興味を持っていたので色々探していました。ただ、正直細かい部分まではどのHPを見てもわからずで、それこそ口コミを見てる日々を過ごしていました(笑)そんな中知人の口コミで歯の花クリニックさんを知り、「よし、いってみるか」と重い腰をあげてうかがったところ、、、正直あまりの丁寧さに驚きました。とにかく寄り添ってくれるんですね。 仕事柄人と話す機会も多いので定期検診を受けているクリニックもあるのですが、とにかく丁寧でした。クリニックというと、女性の歯科衛生士さんがいて、流れ作業のような印象を持つかもしれませんが、違っていたんですね。(もちろん、良いクリニックもあります)
わからないことは一つずつ丁寧に回答していただき、なかなか聞かれないであろう保険診療やそれ以外のことまで突っ込んできいても回答してくださりました(笑)とても好意的な印象しかありません。
また伺おうと思います。その時はどうぞよろしくお願いします。

よくあるご質問

いいえ、痛くありません。エナメル質内の処置になるので痛みは発生せず、麻酔も必要ありません。

だいたい1歯なら90分、2歯なら120分前後ですが、ホワイトスポットの状態によっても変わってくるため、詳しいお時間は無料相談のときにお伝えします。

当院では、中学生からホワイトスポットの治療が可能です。なお、未成年(17歳以下)の場合、初回は保護者の方とご一緒にご来院ください。

特に問題はありません。見た目の問題なので、気にならなければ、そのままにしていても大丈夫です。

いいえ、治せません。 むしろホワイトスポットがより目立つようになることがあります。

ホワイトニングを先に行ったほうがいいです。アイコン治療の後はホワイトニングができなくなるからです。

※ お一人お一人丁寧に向き合いたいため、1日の診療数は5名に限定しております。ご予約はお急ぎください。